Get Back to Your Life Without Disc Surgery or Injections Traverse City MI
Advanced, non-invasive disc recovery in Traverse City. We use structural correction and tissue regeneration to help you heal naturally. No drugs, no needles, just results.

Stop Managing the Pain and Start Fixing the Disc.
A disc injury feels like a life sentence. Whether it’s a herniation, bulge, or debilitating sciatica, the constant sharp pain and numbness stop you from being the parent, spouse, or professional you want to be.
You’ve been told your disc is 'blown,' 'slipped,' or 'herniated.' You’ve been offered a pill to dull the signal or a needle to numb the area. But if the structural pressure that caused the injury remains, the pain will always return. You aren't broken; you're just out of alignment.
A Two-Pronged Attack on Disc Pain.
At Shift Health Center, we don’t just "crack" your back or mask the symptoms. We use the most researched protocol in chiropractic history, Chiropractic BioPhysics® (CBP), combined with SoftWave Tissue Regeneration Technology to address the structural and biological cause of your disc pain.
We’ve helped hundreds of Traverse City neighbors avoid the operating table and reclaim their mobility.
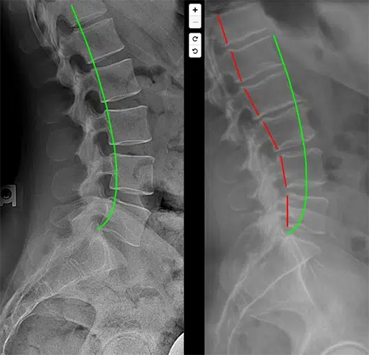
Step 1: Relieve the Pressure (CBP): We use Mirror Image® Adjusting and specialized traction to reshape your spine. By restoring your natural curves, we 'open up' the space between vertebrae, giving your disc the room it needs to heal.
Step 2: Rebuild the Tissue (SoftWave): We utilize SoftWave TRT to penetrate deep into the spinal stack. This electro-hydraulic technology triggers a cellular 'alarm' that shuts down chronic inflammation and jumpstarts the production of new, healthy collagen and disc fibers.
At Shift Health Center, we believe in radical transparency. Our disc protocol involves zero prescription drugs and zero injections. We focus on biological optimization—giving your body the structural integrity and cellular energy it needs to heal itself.

Science-Backed Results.
Chiropractic BioPhysics (CBP)
CBP is the most published and peer-reviewed structural corrective technique. By utilizing Mirror Image® adjusting and traction, we work to restore the spine’s natural curvature, taking the mechanical pressure off the disc.
Research Insight: Studies published in Journal of Physical Therapy Science and Archives of Rehabilitation Research show that restoring sagittal spinal alignment (the curve) significantly reduces disc stress and prevents further degeneration compared to traditional therapy.
SoftWave Tissue Regeneration.
Using patented unfocused shockwave technology, SoftWave triggers your body’s own stem cells to migrate to the damaged disc area, reducing inflammation and accelerating tissue repair.
Research Insight: Research indicates that Extracorporeal Shockwave Therapy (ESWT) can significantly decrease pain and improve functional outcomes in patients with lumbar disc herniations by stimulating cellular regeneration and increasing blood flow to "low-blood" zones like spinal discs.

Your Road to Recovery is Simple.
Step 1: The Structural Analysis. We use digital X-rays and structural testing to see exactly where the disc pressure is coming from.
Step 2: The SoftWave & CBP Protocol. A custom plan involving Mirror Image® traction to reshape the spine and SoftWave sessions to heal the damaged tissue.
Step 3: Permanent Mobility. You graduate from care with a stronger, more resilient spine and the tools to stay pain-free.
Why Traverse City Chooses Shift
The "Standard" Care
- Primary Goal: Masking symptoms / Numbing pain
- Method: Epidural Injections / Pain Medications
- Recovery Mechanism: Chemical interference
- Long-Term Risk: Muscle wasting / Surgical dependency
- Invasive Level: High (Needles/Scalpels)
The Shift Solution
- Primary Goal: Structural correction & Tissue repair
- Method: CBP® Structural Remodeling & SoftWave
- Recovery Mechanism: Stem Cell Activation & Spinal Realignment
- Long-Term Risk: Increased stability & Natural healing
- Invasive Level: Zero (Non‑invasive)
Testimonials
Don't let a disc injury lead to permanent nerve damage, muscle wasting, or a lifetime of restricted movement.
Imagine waking up without stiffness, playing with your grandkids, and enjoying your favorite TC activities, all without a single injection.
Ready to Shift Your Health?
Don't wait for the pain to get worse. Let's see if you are a candidate for our non-surgical disc protocol.
Our assessment includes:
- Comprehensive Consultation
- Digital Structural Analysis (X-Ray & Posture)
- Spinal Exam
- Personalized Recovery Roadmap
OFFICE HOURS
Monday
10:00am - 1:00pm
3:00pm - 6:00pm
Tuesday
7:00am - 11:00am
Wednesday
10:00am - 1:00pm
3:00pm - 6:00pm
Thursday
8:00am - 12:00pm
2:00pm - 5:00pm
Friday
Closed
Saturday
Closed
Sunday
Closed
Shift Health Center
2400 Northern Visions Dr
Traverse City, MI 49684
P: (231) 846-8897
F: (231) 360-2100